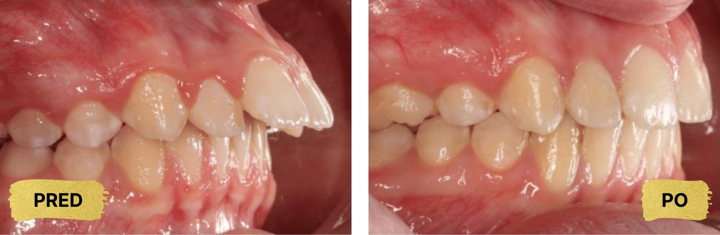
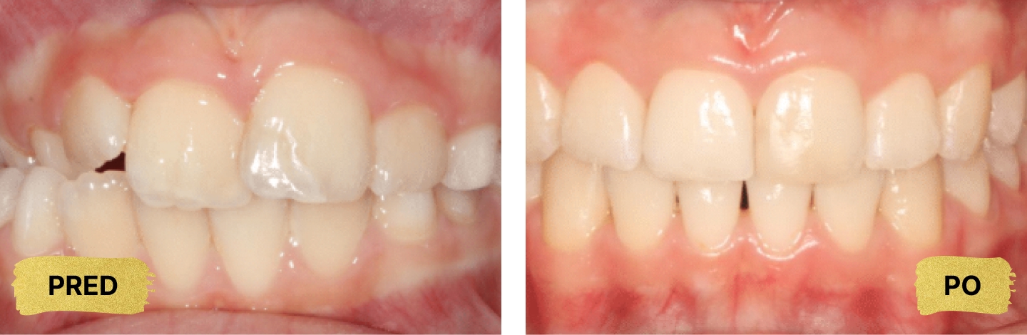
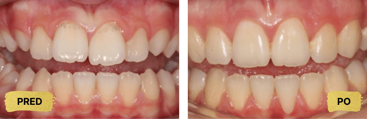
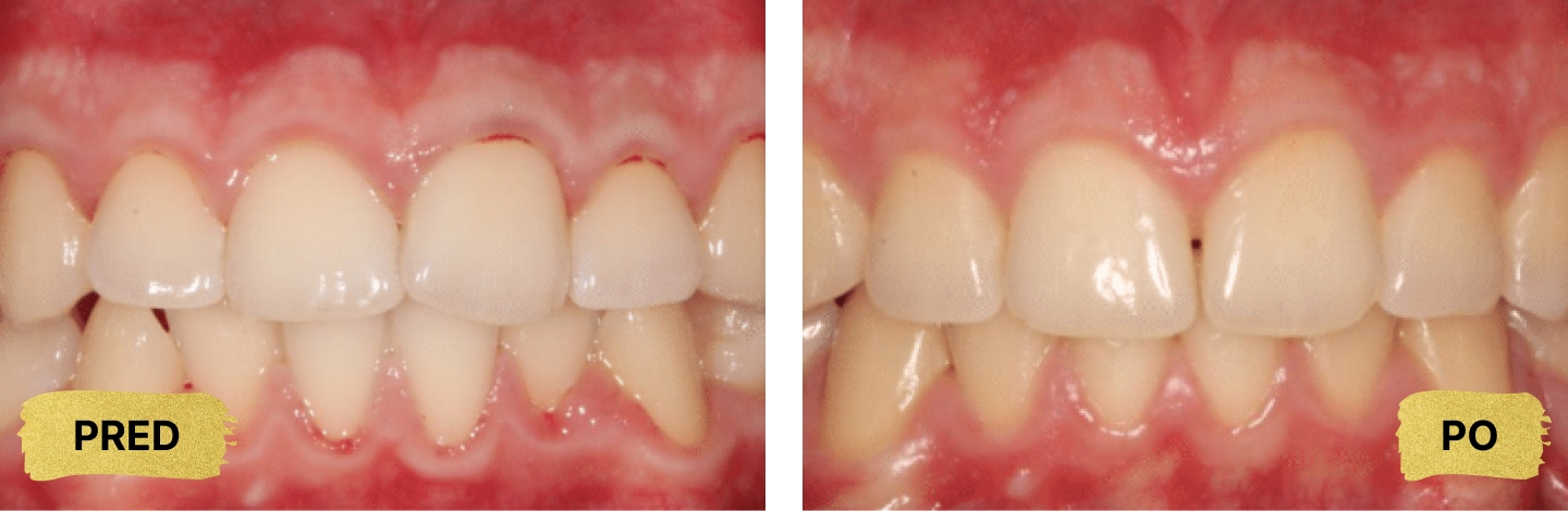
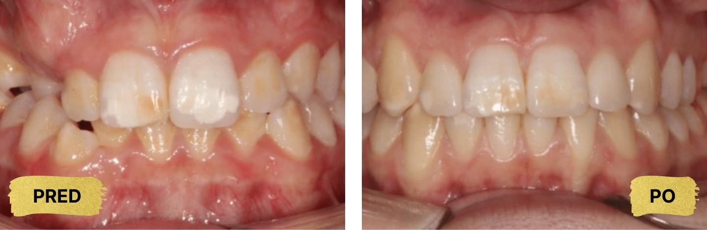
- Diagnóza: predhryz
- Dĺžka liečby: 20 mesiacov
Pacientka mala výrazný predhryz, pri ktorom boli horné rezáky vysunuté približne o 9 mm viac, než je fyziologická poloha. Takýto stav nepredstavuje len estetický problém, môže spôsobovať aj funkčné ťažkosti, napríklad pri hryzení potravy.
Jednou z možností liečby bolo chirurgické odstránenie zubov múdrosti a následné postupné posúvanie zvyšných 14 zubov dozadu. Tento postup by však znamenal niekoľkoročnú liečbu. Preto sme zvolili efektívnejšie riešenie: extrakciu prvých premolárov (tzv. štvorky) a využitie ortodontických skrutiek, ktoré zabezpečili, aby sa zadné zuby počas liečby neposúvali dopredu.
Vzniknutý priestor sme využili na kontrolované “zaklopenie“ a posun predných zubov do správnej polohy. Výsledkom je harmonický, funkčný úsmev.
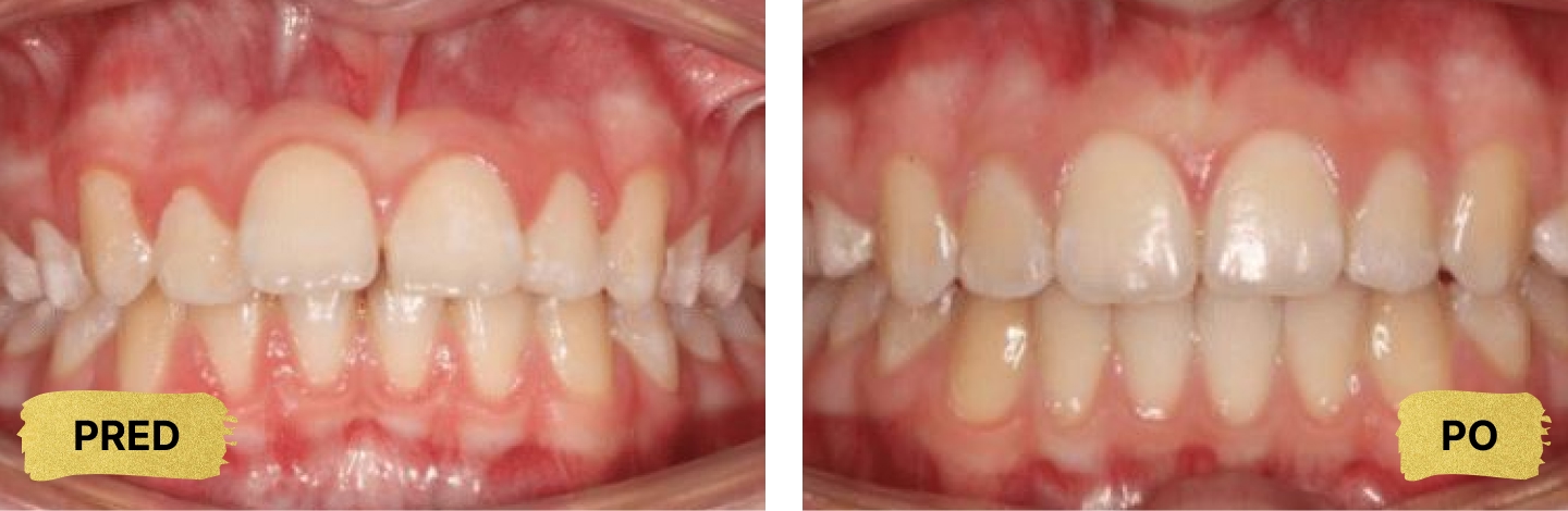
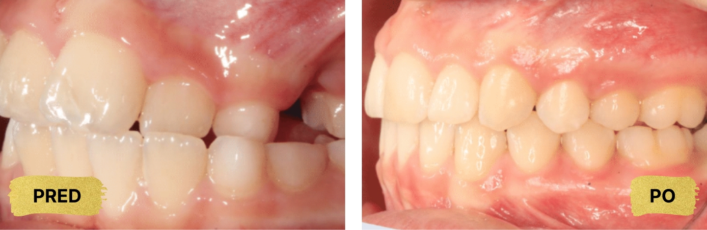
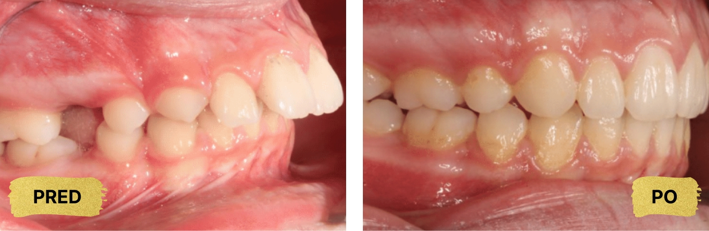
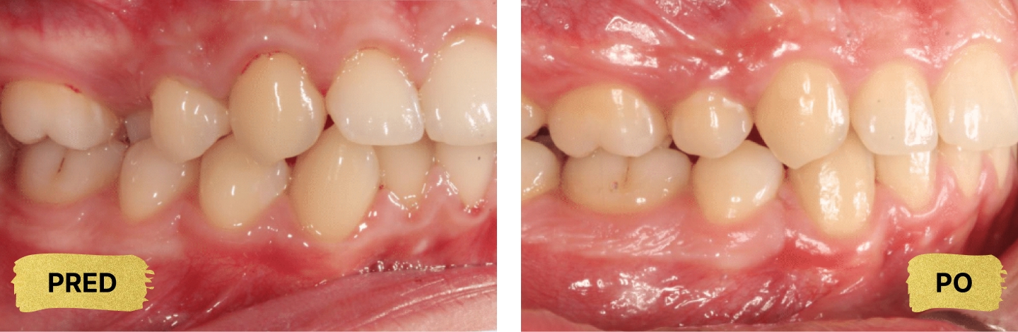
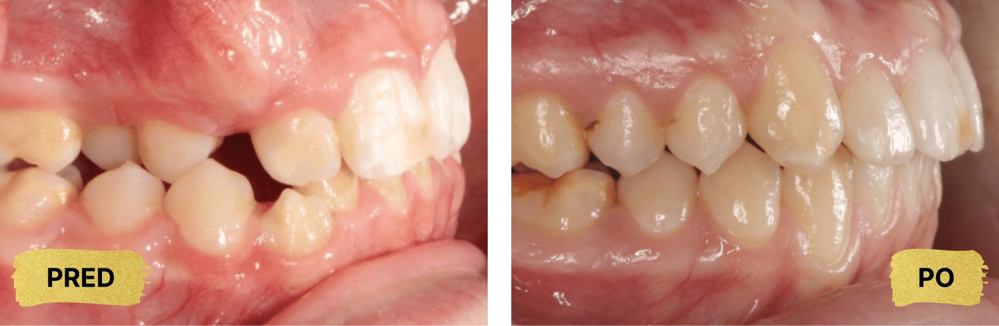
- Diagnóza: nedostatok miesta pre trvalú trojku
U tohto 13-ročného pacienta došlo v detstve k predčasnej strate mliečnej trojky, ktorá za normálnych okolností udržiava miesto pre prerezanie trvalej trojky. Po jej strate sa do vzniknutého priestoru posunula štvorka a spolu s ňou aj ďalšie bočné zuby.
Jednou z možností bolo odstránenie niektorého z trvalých zubov – takýto postup sa v minulosti používal pomerne často. My sme však zvolili šetrnejšie a modernejšie riešenie – špeciálny aparát kotvený do kosti, ktorý vytvoril stabilný oporný bod a umožnil posunúť blok bočných zubov smerom dozadu bez nežiaducich pohybov predných zubov.
Vytvorený priestor sme využili pre správne zaradenie trvalej trojky do zubného oblúka. Výsledkom je funkčnejšie a fyziologickejšie postavenie zubov bez straty zdravého trvalého zuba.
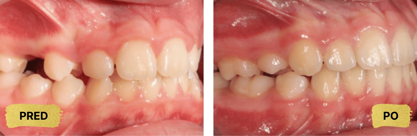
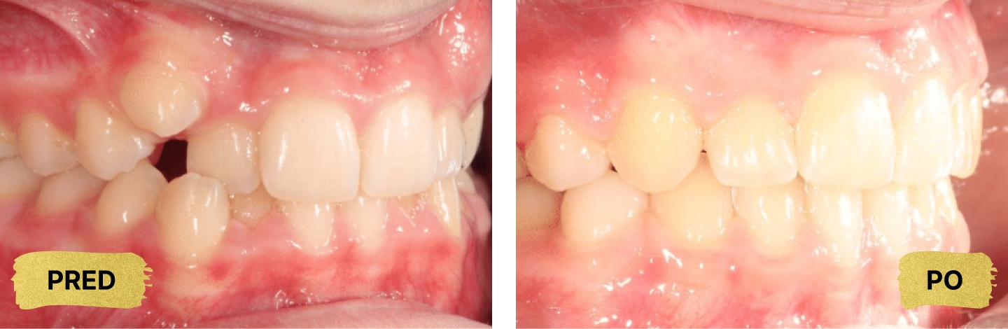
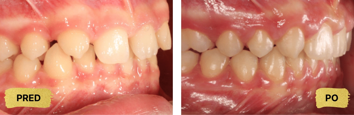
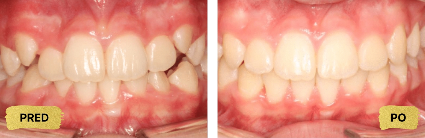
- Diagnóza: zúžený horný zubný oblúk a jednostranne skrížený zhryz
- Dĺžka liečby: 10 mesiacov (snímateľný aparát) + 12 mesiacov (fólie)
Táto pacientka prišla na prvé vyšetrenie už ako 9-ročná. Mala zúžený horný zubný oblúk a jednostranne skrížený zhryz, pri ktorom boli na jednej strane horné zuby sklonené dovnútra a dolné zuby naopak vyklonené smerom von. Takéto postavenie zubov a čeľustí môže negatívne ovplyvňovať ďalší rast a vývoj chrupu.
Vzhľadom na vek a prítomnosť viacerých mliečnych zubov sme sa rozhodli pre interceptívnu liečbu pomocou snímateľného ortodontického aparátu – rozširovacej platne. Tú pacientka poctivo nosila 10 mesiacov, čím sa podarilo upraviť tvar zubných oblúkov a vytvoriť vhodné podmienky pre ich ďalší prirodzený vývoj.
Po dvojročnej pauze sme nadviazali druhou fázou liečby a na upravené zubné oblúky nasadili neviditeľný strojček, ktorým sme úsmev za necelý rok doladili.
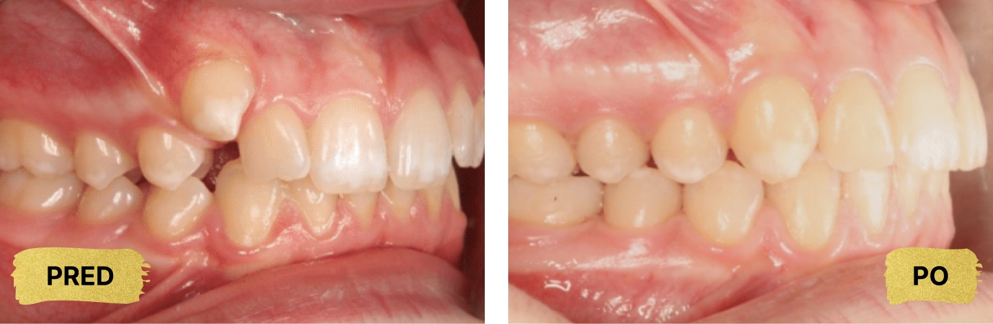
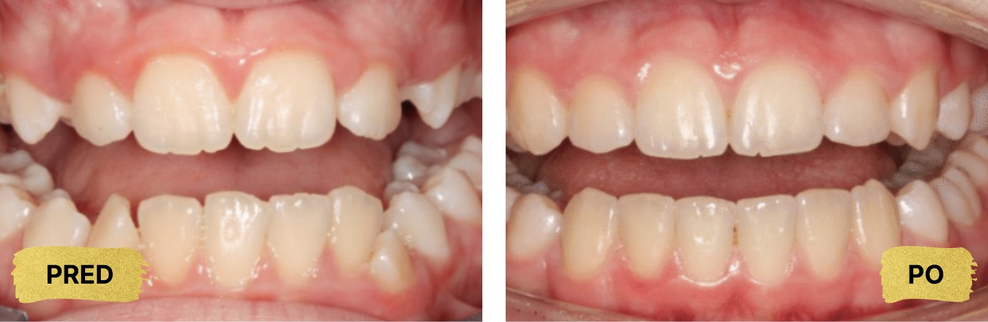
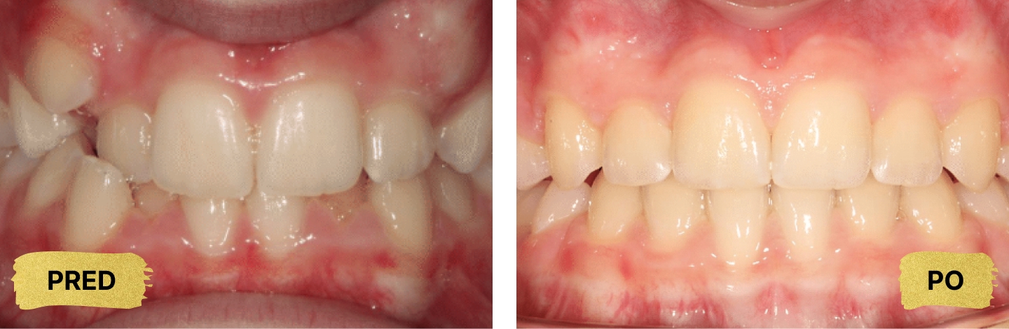
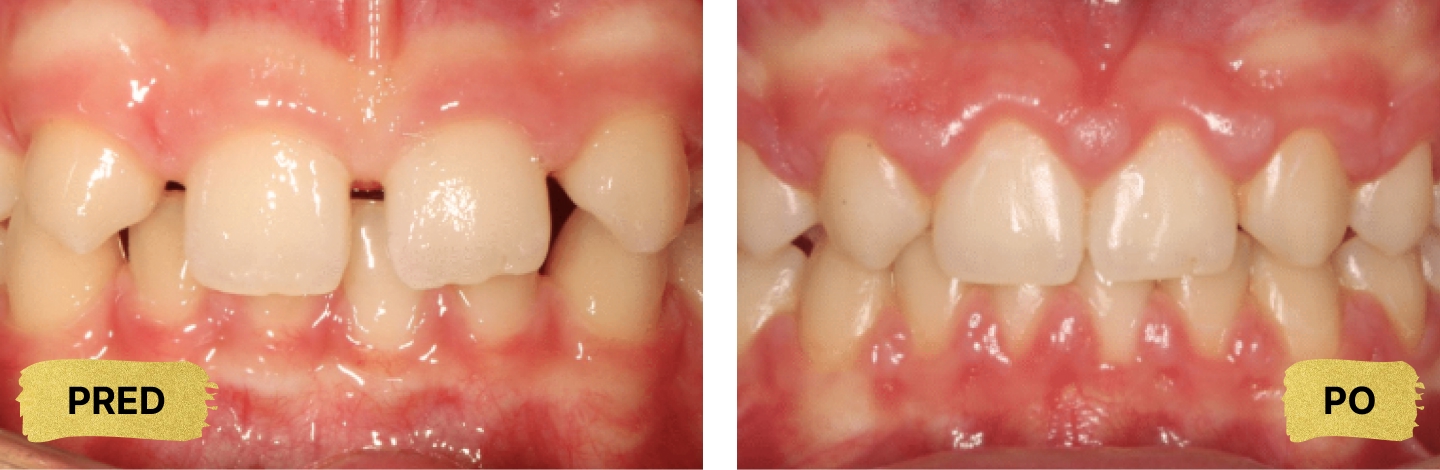
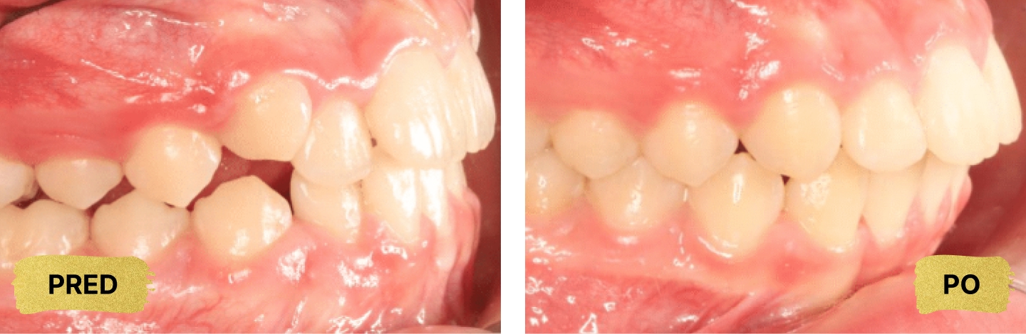
- Diagnóza: nedostatok miesta pre trvalé trojky
- Dĺžka liečby: do 2 rokov
U tejto pacientky sa trvalé zuby prerezali na nesprávnom mieste. Trvalé štvorky sa prerezali vedľa dvojok a svojou väčšou korunkou zabrali priestor určený pre trvalé trojky. Takáto situácia vzniká často v dôsledku nepomeru medzi veľkosťou zubov a veľkosťou čeľustí a môže významne narušiť vývoj chrupu.
Jednou z možností liečby bolo ponechať zuby v danej pozícii a hľadať priestor pre trojky iným spôsobom, čo by však výrazne zvýšilo náročnosť liečby. Preto sme sa rozhodli pre extrakciu trvalých štvoriek v hornom aj dolnom zubnom oblúku.
Vzniknutý priestor sme využili na zaradenie trojok do zubného oblúka a posun zadných zubov dopredu tak, aby sa medzery úplne uzatvorili. Výsledkom je funkčný chrup a správne postavenie zubov.
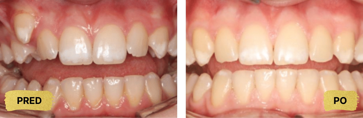
- Diagnóza: výrazný predhryz s protrúziou horných rezákov
- Dĺžka liečby: 2 roky
Pacientka prišla na konzultáciu ako 12-ročná, s dlhodobo neriešeným výrazným predhryzom. Horné predné zuby boli vyklonené dopredu o viac ako 30 stupňov, čo predstavovalo nielen estetický, ale aj funkčný problém.
Jednou z možností liečby bol rozsiahlejší chirurgický zákrok. V tomto prípade sme sa však rozhodli pre extrakčnú terapiu a odstránili sme horné päťky. Tým sme vytvorili priestor na posun šiestich predných zubov smerom dozadu. Aby sme zadným zubom zabránili posunúť sa dopredu, ukotvili sme ich pomocou ortodontických skrutiek v podnebí a tzv. frog aparátu.
Vzniknutý priestor sme využili na kontrolované zaklopenie a posun predných zubov do správnej polohy. Výsledkom je harmonický úsmev bez predhryzu a so správnym postavením zubov.
- Diagnóza: nedostatok miesta pre trvalé trojky
Pacientka nemala v zubných oblúkoch dostatok priestoru pre prerezanie a správne zaradenie trvalých trojok, ktoré patria z funkčného aj estetického hľadiska medzi najdôležitejšie zuby vo frontálnom úseku. Zároveň mala založené aj zuby múdrosti, takže riziko ďalšieho stesnávania horného aj dolného oblúka bolo v budúcnosti vysoké.
Po dôkladnom zvážení aktuálneho stavu aj ďalšieho vývoja chrupu sme sa rozhodli pre extrakčnú liečbu a odstránenie trvalých štvoriek v hornom aj dolnom zubnom oblúku. Aby sme liečbu čo najviac zefektívnili, ešte pred samotnou extrakciou sme nalepili fixný ortodontický aparát. Vďaka tomu sa mohli zuby začať do uvoľneného priestoru posúvať prakticky okamžite.
Vzniknutý priestor sme využili na správne zaradenie trvalých trojok do oblúka a usporiadanie zubov do funkčného postavenia. Výsledkom je harmonickejší úsmev a stabilnejšie pomery v oboch zubných oblúkoch.
- Diagnóza: bimaxilárna protrúzia so stesnaním zubov
Pacient mal výrazne dopredu vyklonené predné zuby v hornej aj dolnej čeľusti. Tento stav bol sprevádzaný aj výrazným stesnaním zubov, ktoré komplikovalo ich správne zaradenie do oblúka. Takéto postavenie chrupu ovplyvňuje nielen zhryz, ale aj celkový vzhľad profilu.
Keby sme zuby posunuli ešte viac dopredu, vznikol by tzv. kačací profil. Preto sme sa rozhodli pre extrakčnú liečbu a odstránenie štvoriek, čím sme vytvorili priestor na vyrovnanie zubov a ich kontrolované zaklopenie dozadu. Následne sme nasadili fixný ortodontický aparát, ktorým sme zuby vyrovnali a kontrolovane posunuli dozadu.
Výsledkom je upravený zhryz, správnejšie postavenie zubov a priaznivejší vzhľad profilu.
- Diagnóza: nezaložené horné trvalé dvojky
Tento pacient nemal založené obe horné trvalé dvojky. Pri takomto náleze je potrebné rozhodnúť, či sa medzery po chýbajúcich zuboch budú v budúcnosti uzatvárať implantátmi alebo mostíkom, alebo sa uzatvoria ortodonticky, posunom vlastných zubov. Obe možnosti majú svoje funkčné aj estetické špecifiká.
Rodičia sa v tomto prípade rozhodli, pre ortodontickú liečbu so špeciálnym podnebným aparátom, pomocou ktorého sme všetky zuby posunuli dopredu a priestor po chýbajúcich dvojkách uzatvorili. Na miesto dvojok sa tak posunuli trojky.
Výsledkom je uzatvorený zubný oblúk bez potreby implantátov či mostíka. Hoci trojky nie sú z estetického hľadiska vždy ideálnou náhradou dvojok, v tomto prípade boli pacient aj jeho rodičia s výsledkom spokojní aj bez ďalšej remodelácie zubov.
- Diagnóza: nedostatok miesta pre trvalú trojku a päťku
Tomuto pacientovi chýbal dostatok miesta pre prerezanie trvalej trojky a päťky. V takýchto extrémnych prípadoch sa môže na prvý pohľad zdať, že jediným riešením je extrakcia niektorého zubov. Pri plánovaní liečby je však vždy potrebné dôkladne posúdiť, či ide o definitívny nedostatok priestoru, alebo o stav, ktorý sa ešte môže priaznivo upraviť počas rastu.
Preto sme pred začiatkom liečby urobili komplexné vstupné vyšetrenie, zhodnotili rastový potenciál čeľustí aj polohu a sklon ostatných zubov. Prognóza rastu bola veľmi priaznivá, a tak sme sa rozhodli pre liečbu bez extrakcie. Pomocou ortodontického aparátu sme postupne vytvorili dostatok priestoru pre trvalú trojku aj päťku.
Vzniknutý priestor sme využili na správne zaradenie oboch zubov do zubného oblúka. Výsledkom je funkčný chrup, v ktorom sa podarilo zachovať všetky trvalé zuby.
- Diagnóza: primárne stesnanie
Zuby tejto pacientky boli pred liečbou príliš veľké – a to v pomere k veľkosti jej čeľustí.
Išlo o tzv. primárne stesnanie, pri ktorom sa zuby do zubného oblúka nezmestia preto, že pre ne v danej fáze vývoja nie je dostatok priestoru. V takýchto prípadoch sa môže na prvý pohľad zdať, že jediným riešením je extrakcia.
Pri plánovaní liečby sme však zohľadnili aj rodinnú anamnézu a rastový potenciál pacientky. Obaja rodičia sú veľmi vysokí a analýza rastovej fázy potvrdila, že nedostatok miesta bude s veľkou pravdepodobnosťou len dočasný. Preto sme sa rozhodli pre liečbu fixným strojčekom a využili sme prirodzený rast čeľustí v prospech usporiadania zubov.
Včasná a správne načasovaná ortodontická liečba nám umožnila zachovať všetky trvalé zuby a dosiahnuť harmonický úsmev bez potreby extrakcie či obrusovania zubov.
Dohodnite si vstupnú konzultáciu.
Zvažujete liečbu strojčekom? Počas nezáväznej vstupnej konzultácie vám načrtneme možnosti liečby a v prípade záujmu si dohodneme ďalší postup.




















